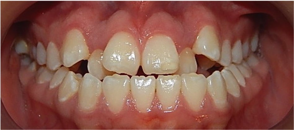
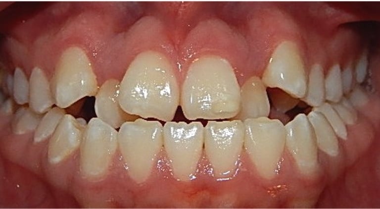
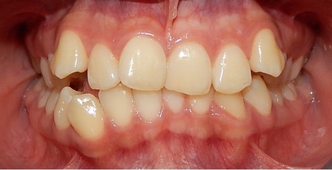
Conoce casos de éxito
Casos finalizados por nuestro especialista
Esta galería muestra los diferentes tipos de casos finalizados con éxito, ya sea con aparatos como Hyrax, brackets convencionales, brackets autoligado y alineadores. Estas fotografías retratan el cambio que lleva en cada persona el llevar un tratamiento de ortodoncia.
















